손가락과 발가락 골절 완치 기간, 원인 및 증상
손가락과 발가락 골절은 일상생활에서 흔히 발생할 수 있는 부상입니다. 작은 부위이지만, 골절이 발생하면 일상생활에 큰 불편함을 주고, 때로는 장기적인 치료와 회복 기간이 필요할 수 있습니다. 이 글에서는 손가락과 발가락 골절의 주요 원인, 증상, 치료 방법 및 예상되는 완치 기간에 대해 자세히 설명하고자 합니다.
손가락 골절의 원인 및 증상
손가락 골절은 다양한 원인으로 인해 발생할 수 있습니다. 가장 흔한 원인 중 하나는 직접적인 충격으로 인한 것입니다. 예를 들어, 운동 중에 공을 잘못 맞거나 무거운 물체를 떨어뜨려 손가락에 충격을 받을 때 골절이 발생할 수 있습니다. 또한, 교통사고나 높은 곳에서의 추락 등도 손가락 골절의 원인이 될 수 있습니다.
손가락 골절의 증상으로는 심한 통증, 부기, 멍이 들거나, 손가락 모양의 변형, 손가락 움직임의 제한 등이 있습니다. 심한 경우 손가락의 창백함이나 감각 소실이 발생할 수도 있습니다.


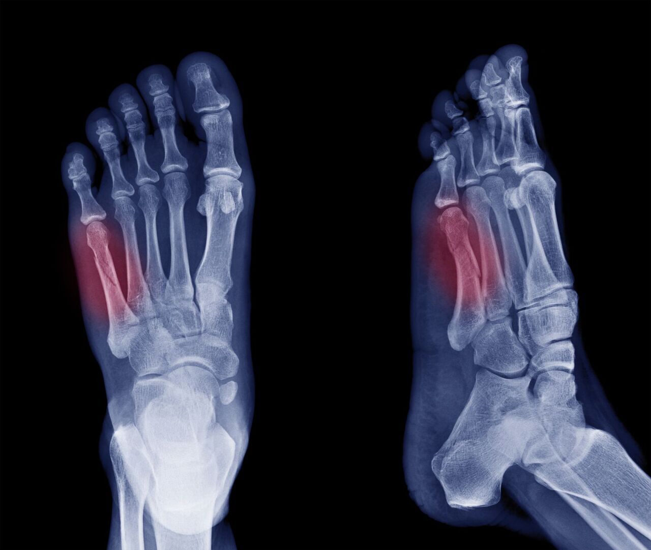
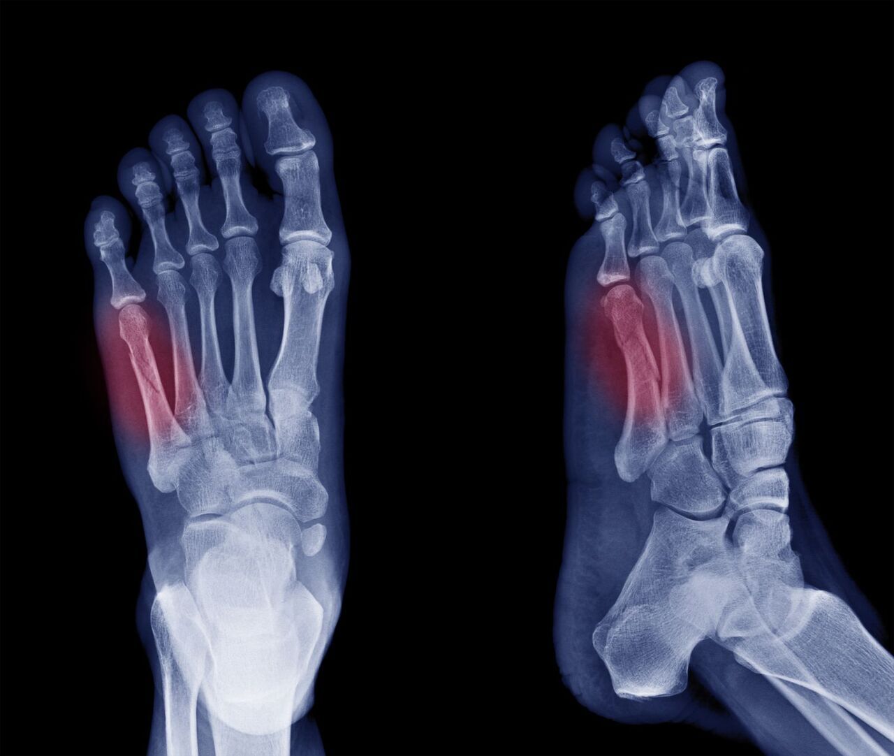
발가락 골절의 원인 및 증상
발가락 골절 역시 여러 원인으로 인해 발생할 수 있으며, 그중 가장 흔한 원인은 무거운 물체가 발가락에 떨어지는 경우입니다. 운동 중 부상, 실족하여 발가락이 끼이는 사고, 혹은 신발이 맞지 않아 발생하는 골절도 있습니다.
발가락 골절의 증상으로는 발가락 부위의 심한 통증, 부기, 멍, 발가락의 변형, 걷기 어려움 등이 있습니다. 또한, 골절된 부위를 움직일 때 통증이 더욱 심해질 수 있습니다.
손가락 발가락 골절 완치 기간 및 치료 방법
손가락과 발가락 골절의 치료 방법은 골절의 유형과 심각도에 따라 다를 수 있습니다. 가벼운 골절의 경우, 통증을 줄이고 골절이 올바르게 치유될 수 있도록 고정하는 것만으로 충분할 수 있습니다. 이를 위해 붕대를 감거나 보호대를 사용하여 골절된 부위를 고정시킬 수 있습니다. 중증도의 골절이나 복잡한 골절의 경우, 수술적 치료가 필요할 수 있으며, 핀이나 금속판을 사용하여 골절 부위를 고정시키는 방법이 사용될 수 있습니다.


손가락 발가락 완치 기간은 골절의 심각도, 치료 방법, 개인의 건강 상태 등에 따라 달라질 수 있으나, 일반적으로 손가락이나 발가락 골절의 경우 대부분 4주에서 6주 사이에 뼈가 붙기 시작합니다. 하지만 완전히 정상적인 기능을 회복하기까지는 더 긴 시간이 필요할 수 있으며, 때로는 3개월 이상 걸릴 수도 있습니다. 또한, 복잡한 골절이나 수술이 필요한 경우 회복 기간은 더욱 길어질 수 있습니다. 정확한 손, 발가락 치료 기간은 환자의 나이, 건강 상태, 골절의 위치와 종류, 치료 방법 등에 따라 달라집니다.
손가락 발가락 골절이 단순 골절이라면, 치료비용은 크게 부담스럽지 않습니다. 핀을 박는 정도의 수술도 입원을 하지 않고 수술만 하면 건강보험 적용으로 5만원 미만으로 가능하며, 실손보험 및 상해보험을 통한 실비 변상 및 골절진단금 수령도 가능합니다.


발가락 골절 재활과 회복 촉진
발가락 골절 부위의 회복을 촉진하기 위해, 재활 운동이 중요한 역할을 합니다. 부상 후 적절한 시기에 시작하는 재활 운동은 통증을 감소시키고, 움직임의 범위를 회복하며, 근육의 힘을 다시 길러줍니다. 의료 전문가의 지시에 따라 재활 운동을 시작하는 것이 중요하며, 자가 치료를 시도하기 전에 전문가와 상의하는 것이 좋습니다.
손가락이나 발가락 골절 후에는 부상 부위를 적절히 관리하고, 의료 전문가의 조언을 따르며, 재활 운동을 꾸준히 수행하는 것이 중요합니다. 이러한 노력은 회복을 촉진하고, 부상 후 발생할 수 있는 장기적인 문제를 예방하는 데 도움이 됩니다.

예방과 관리
손가락과 발가락 골절을 예방하기 위해서는 일상 생활에서 주의를 기울이는 것이 중요합니다. 무거운 물체를 다룰 때는 보호 장비를 착용하고, 운동을 할 때는 적절한 기술과 자세를 사용하는 것이 좋습니다. 또한, 집이나 작업장의 안전을 위해 바닥의 장애물을 제거하고, 미끄러지기 쉬운 곳에는 미끄럼 방지 매트를 설치하는 등의 조치를 취할 수 있습니다.
손가락과 발가락 골절은 적절한 치료와 관리를 통해 회복이 가능한 부상입니다. 전문가의 진단과 치료를 받고, 재활 운동과 적절한 예방 조치를 취함으로써, 건강한 생활로의 빠른 복귀를 기대할 수 있습니다.
'it,과학,기술 > 건강,의학' 카테고리의 다른 글
| 당뇨 합병증 종류, 고혈당 저혈당, 망막병증 (0) | 2024.04.28 |
|---|---|
| 타이레놀 효능 6가지: 슬프로 외로워서 가슴이 아플 때도, 주의해야 할 부작용까지! (0) | 2024.04.22 |
| 실손보험 발가락 골절 보험금 (0) | 2024.03.18 |
| 진해거담제 기치코프에스캡슐: 효능, 복용량, 주의사항, 부작용 (0) | 2024.02.11 |
| 아시클로버 연고 효능 가격 입술 단순 포진 헤르페스 바이러스 치료제 (0) | 2024.01.16 |